ワイズデンタルオフィス
インプラント 一般診療のご予約は03-6801-9505まで|ワイズデンタルオフィス




根管治療とは、リーマーやファイルと呼ばれる器具で細菌に感染してしまった歯質や神経を徹底的に除去し、歯の根の病気(根尖病変)を治療・予防するものです。
根っこの中は直接見ることができず、形も人それぞれなので完全に細菌を取り除くことが非常に難しく、しかも細菌を取り残した状態で詰め物を詰めたり、クラウ ン(差し歯・かぶせ物)をかぶせてしまうと、後々細菌が増殖してトラブルが出てきてしまうこともあるからです。

当医院では手術顕微鏡 OPMI picoを使用致します。
詳しくはこちらどうぞ

STEP1
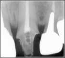
診査
  STEP2
根幹内を
消毒します。
  STEP3
根幹充填を
致します
レントゲン撮影と虫歯のチェックをします。   こちらが通常肉眼では見えにくい部分で設備が無い医院では大まかな治療で終える場合があります。   しっかりと根元を治療することにより虫歯の菌を除去することができます。

期間: 治療回数2〜5回
費用: 約1000円程度〜 
備考: 場合によっては周囲のケアが必要になります。(保険適用)







ワイズデンタルオフィス
〒112-0002
東京都文京区小石川2-25-10
パークホームズ小石川1F
TEL:03-6801-9505
FAX:03-6801-9506

ワイズデンタルオフィスアクセスマップ

一般歯科
審美歯科
歯内療法
矯正
インプラント



Copyright(C) Y`s DENTAL OFFICE. All rights reserved.