ワイズデンタルオフィス
インプラント 一般診療のご予約は03-6801-9505まで|ワイズデンタルオフィス




テレスコープ〜SurgiTel 術野拡大・照明システム

歯科用拡大鏡(テレスコープ、ルーペ)とはを拡大してみることの出来る巨大なメガネのようなものです。

拡大鏡を使用することによって、肉眼では見ることの出来ない歯の細かい凹凸や、隠れた根管補綴物のフィットの状態など様々なことが分かるので、診断能力が大幅に向上し、より精密な治療を行うことが出来るようになります。

よく見えることによって、“見逃す”ことがなくなります。これは「今まで以上に作業をする必要が出る」のではなく「余計なことをしなくて済む」という言い方が適切ですね。視覚情報が倍以上になることによって、早い時期に治療の方向性が見えてきます。見えない状況では、いろいろ確認しながら手探りのような治療になりがちですが、見えることによって自分がデザインしたイメージどおり治療を進めて行くことが可能になるのです。結果的にチェアタイムが短くなり、より多くの患者さんを診ることも可能になるのです。

手術顕微鏡 OPMI pico


歯科用に開発されたOPMI picoは

カールツァイス デンタルマイクロスコープのエントリーモデルでありながら、

あらゆるアプリケーションに対応可能です。

豊富なオプションと人間工学に基づく快適な操作性で術者および患者に最適な環境をお届けします。


■180°可変鏡筒+広視野接眼レンズ
鏡筒部分を180°の範囲で可変。快適な姿勢を維持。

■ガリレイ式変倍機構
アプリケーションに合わせて5段階の倍率を選択可能。

■フォーカス機能付対物レンズ
対物レンズの焦点距離は250mmを標準とし、ダイヤル操作により微妙なフォーカス調整が可能。

■照明システム
コストパフォーマンスに優れるハロゲン照明か、より自然光に近いキセノン照明を選択可能。

■スイングインフィルタ
充填剤の早期硬化の進行を防ぐUVオレンジフィルタと、血流組織に鮮やかなコントラストが得られるコントラストグリーンフィルタを標準装備。




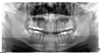
ヨシダ社 パノーラ
常に強力で安定したエネルギーのX線を連続的に照射できる直流方式を採用

デジタルレントゲンの最大のメリットは、少ない被爆線量で鮮明な画像が得られることです。
従来のレントゲン撮影法よりも最大1/10 の線量でクリアな画質なのです。
しかも現像の手間が必要ないので、画像はほぼ瞬時に表示されます。
現像液などの廃液も出ないのもデジタルのいいところ。
環境にもやさしいのです。保険診療の適応なのでご安心ください



▼詳しくはこちらをご覧ください▼






ワイズデンタルオフィス
〒112-0002
東京都文京区小石川2-25-10
パークホームズ小石川1F
TEL:03-6801-9505
FAX:03-6801-9506

ワイズデンタルオフィスアクセスマップ

一般歯科
審美歯科
歯内療法
矯正
インプラント



Copyright(C) Y`s DENTAL OFFICE. All rights reserved.