
 |
- 審美歯科で行う治療では、歯を白くしたり歯並びを良くしたりという、歯をキレイに見せることに重点が置かれます。
- キレイに見せるための1つの方法として「歯と同じような白い材料を使う」ということがあり、白い歯を作るための材
料としてセラミックがよく使われます。審美歯科でセラミックを使う治療には差し歯の入れ替えなどがありますが、詰
め物などにもセラミックを使うことができます。銀歯が気になっている方は一度検討してみてはいかがでしょうか。
|
STEP1
診査 |
|
STEP2
型取りします。 |
|
STEP3
完了 |
 |
 |
 |
 |
 |
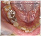
| 虫歯のチェックをします。 |
|
歯を削った後、型を取ります。 |
|
金属のかぶせ物より虫歯になりにくい素材なので安心 |
| 期間: |
治療回数2回 |
| 費用: |
小臼歯28,000円/1本〜 |
| 備考: |
健康保険は適用外となっております。 |
 |
|
|


ワイズデンタルオフィス
〒112-0002
東京都文京区小石川2-25-10
パークホームズ小石川1F
TEL:03-6801-9505
FAX:03-6801-9506
|
 |
|
|