
 |
- 歯列矯正は見た目の美しさや素敵な笑顔のために勿論ですが口腔内や、全身の健康を維持、虫歯・歯周病になりにくい環境を作るというメリットがあります。
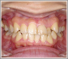
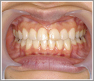
- 歯のデコボコ、八重歯、出っ歯、歯の真ん中がずれている、歯がすいているなど、歯並びが悪いと、虫歯になりやすい・噛み合わせが悪い・顔の形に影響してくる・発音が悪いなどの原因になるのです。当院では矯正治療は全て、東京医科歯科大学矯正科の歯科医師が担当します。
小児矯正では前歯と第1大臼歯が生え変わる時期(1期)と横の歯が生え変わる時期(2期)に分けて最適な時期に治療します。
|
STEP1
診査 |
|
STEP2
矯正器具を設置 |
|
STEP3
終了 |
 |
 |
 |
 |
 |
| レントゲン撮影と虫歯のチェックをします。 |
|
月に一度調整致します。一回の治療は約30分ほど |
|
器具を外した後は歯が元に戻らないように食事以外出来る限りマウスピースをしていただきます。 |
| 期間: |
約2〜3年 |
| 費用: |
5250円/1回 |
| 総額(※2年間) |
900,000円〜 |
| 備考: |
健康保険は適用外となっております。 |
 |
|
|


ワイズデンタルオフィス
〒112-0002
東京都文京区小石川2-25-10
パークホームズ小石川1F
TEL:03-6801-9505
FAX:03-6801-9506
|
 |
|
|